
Orthodontist
ORTHODONTIST IN PANJIM
ORTHODONTIC TREATMENT WE PROVIDE

METAL BRACES
Metal Braces are an inexpensive and common orthodontic treatment option to address various orthodontic issues like maligned teeth, overbite corrections, deep bite corrections and more. They consists of arch wires and elastics that are inserted onto the braces to achieve the desired tooth movement. While highly effective even for severe teeth alignment issues, it is not very common among adults as it is non aesthetic.

CERAMIC BRACES
Ceramic braces are a more aesthetic orthodontic treatment option used in adults. These are teeth braces made of ceramic or porcelain which make them aesthetic and a preferred choice in adults. Plus, they tend be more comfortable as they do not cause any gum irritation. The ceramic braces once bonded onto your teeth are quite strong and do not chip off easily. Ceramic braces are also more comfortable when compared to metal braces.

INVISALIGN AND CLEAR ALIGNERS
Invisalign and Clear Aligners are one of the latest and premium orthodontic treatment options. Clear aligners such as Invisalign are metal free and hence cause no gum irritation. Whats more, they can be removed while eating which enables you to enjoy all your favourite food without any restriction while undergoing Orthodontic Treatment. We provide different types of dental aligner treatment and are one of the few Invisalign certified dental clinics in Panjim. Visit our orthodontist in Panjim to know more about Invisalign Braces.

DAMON CLEAR BRACES AND SELF LIGATING BRACES
These are one of the newer treatment options available for teeth braces treatment today. Self ligating braces or Damon clear braces are a highly refined and aesthetic type of orthodontic braces. The pressure exerted by these onto your teeth are significantly lesser and hence the orthodontic treatment experience is more comfortable. Primarily used in cases of teeth crowding and overlapping, they are minimally invasive and also very aesthetic. Self ligating braces are available as both Metallic and Ceramic clear braces.

FUNCTIONAL APPLIANCES
These are Orthodontic Treatment appliances that aim at correcting teeth problems caused by musculoskeletal reasons. They are usually used in children who are growing. They are simple to wear and are used to prevent teeth alignment issues from worsening and extending into adulthood. They primary take advantage of the child’s skeletal growth to modulate orthodontic treatment. Early prevention is better than cure. Visit our orthodontist in Panjim. to know more about functional orthodontic appliances and how can they help in your Childs orthodontic treatment.

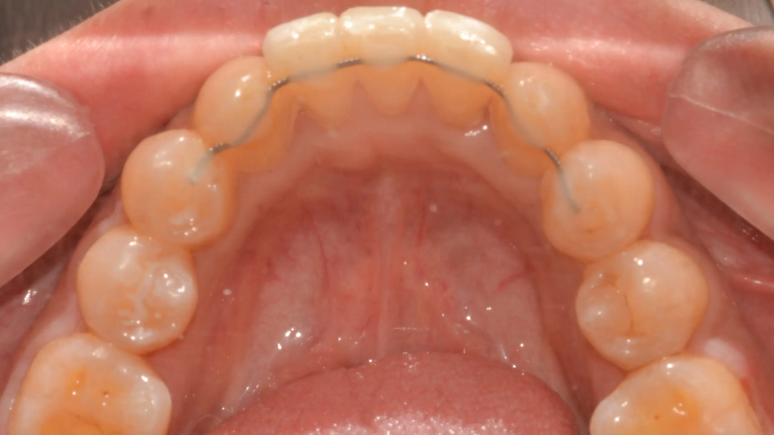
REMOVABLE ORTHODONTIC APPLIANCES
As the name suggests, removable appliances can be generally worn and taken off. They can be used for very mild cases and are usually not indicated for severe orthodontic corrections. The kind of cases that can be treated with removable appliances include simple rotations, tipped teeth and mild spacings. Certain functional appliance treatment are also removable. These are generally not recommended unless the patients compliance is high.
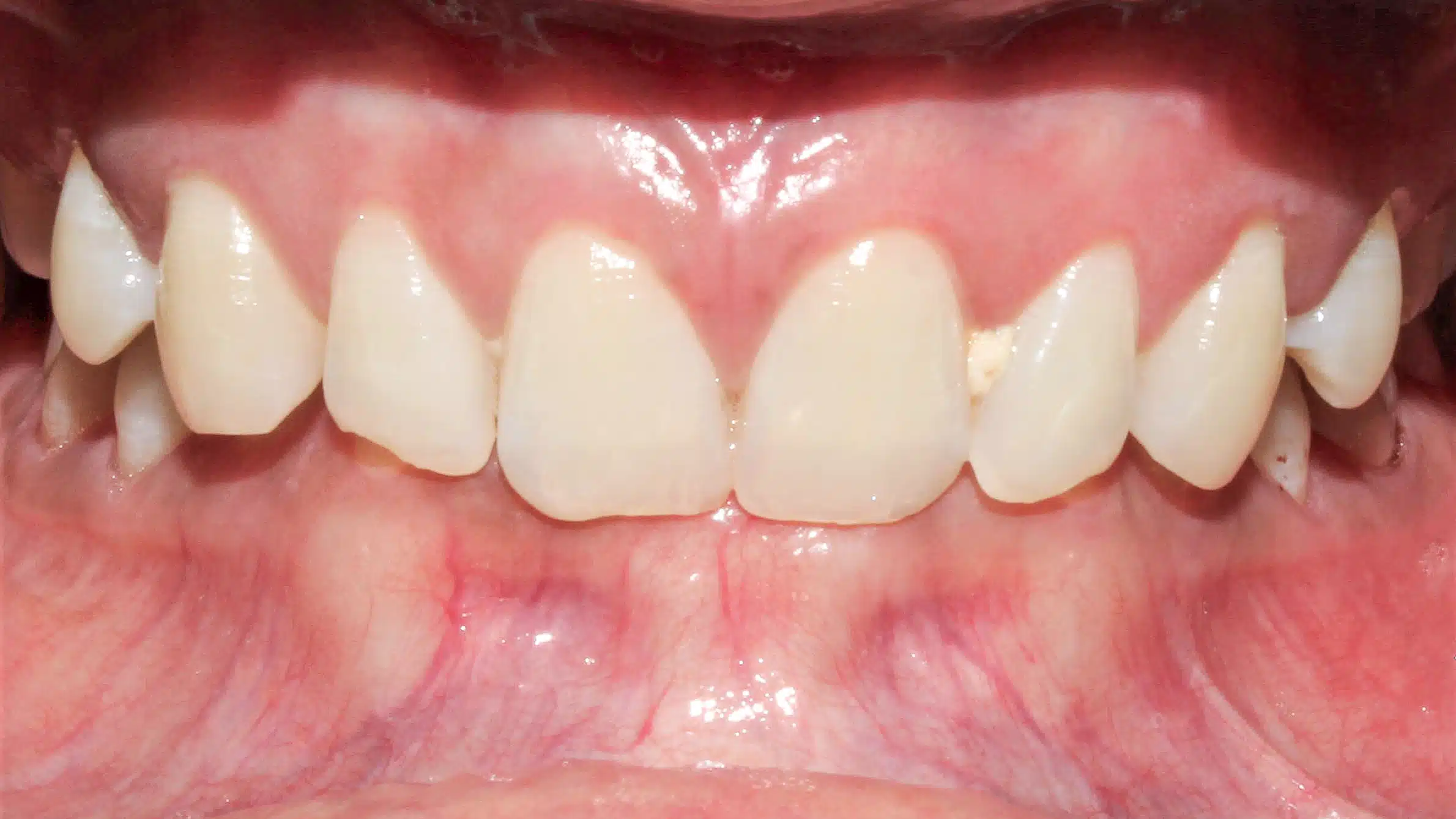
Looking at getting Teeth Braces? Orthodontic treatment helps address alignment and bite related issues such as gaps between teeth, crooked bite and other related issues. Visit our Orthodontist in Panjim and start your Teeth Braces journey today. We’re constantly rated as one of the Best Orthodontist In Panjim providing orthodontic services.
What is Orthodontics?
Tooth decay and tooth loss are often caused due to food lodgement. This happens due to crooked and protruding teeth as it makes it difficult to maintain oral hygiene and also affect the bite and chewing efficiency. Orthodontics aims at improving these issues by correcting teeth alignment. We at Smile Craft believe in being minimally invasive and try and avoid teeth extractions whenever possible. Orthodontic treatment is done for dental problems such as Overbite correction, Deep bite, Crowded teeth and more.
Which Type Of Braces Would Be Ideal For Me?
While you would require a proper clinical examination to determine that, Below is a summary of comparison to help you understand the major differences in the different types of braces. The duration and cost of treatment varies from case to case and complexity. At Smile Craft, We offer instalment facilities on all braces treatment to enable Affordable Teeth Braces Treatment to all.
|
Conventional Braces |
Self Ligating Braces |
Clear Aligners |
|
|
Looks |
Less Esthetic |
Good Esthetics |
Very Esthetic |
|
Comfort |
Moderate |
Good |
Excellent |
|
Food Restrictions |
Present |
Present |
No Restrictions |
|
Cost |
Less |
Moderate |
Moderately Higher |
FAQ’s related to Orthodontic Treatment in Panjim

Book An Appoinment
ORTHODONTIST IN GOA
MARGAO

Kurtarkar Harmony, Ground Floor,
Shop No 3, Building A ,
Borda, Margao
Goa – 403601, India
PANJIM






