
teeth veneers
TEETH VENEERS IN GOA
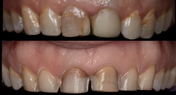
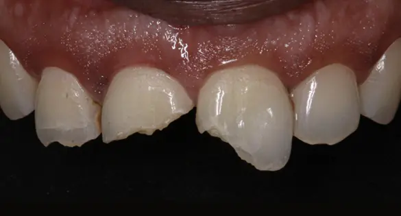
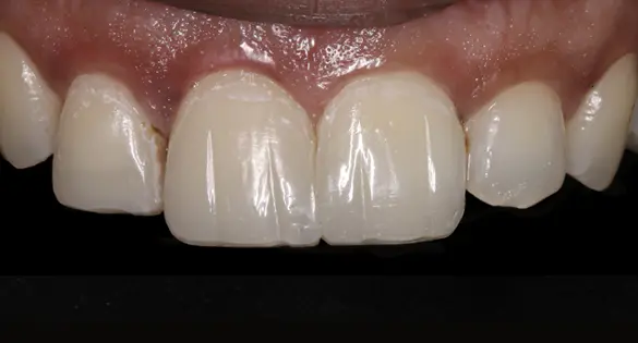
Teeth Veneers help you achieve your dream smile. These are Thin, Translucent shells made of dental porcelain that are placed over your teeth to give a better-looking smile. Porcelain veneers are used to enhance the look, Shape or colour of teeth as desirable. With the aid of dental veneers, some basic flaws in your frontal teeth like Tooth gaps, Discolouration, Shape of your teeth and dents can be corrected by our Cosmetic Dental Specialist in Goa
Types Of Teeth Veneers

PORCELAIN VENEERS
Lasers are used to speed up the Teeth Whitening procedures done in a dental clinic. A peroxide bleaching solution is applied to the surface of your teeth which is then activated by laser energy. The low intensity dental lasers used in cases such as Zoom Teeth Whitening enhances the outcome by giving quick results. Consult our dental experts today to know more about Laser Teeth Whitening In Goa.

RESIN-BASED COMPOSITE VENEERS
Lasers are used to speed up the Teeth Whitening procedures done in a dental clinic. A peroxide bleaching solution is applied to the surface of your teeth which is then activated by laser energy. The low intensity dental lasers used in cases such as Zoom Teeth Whitening enhances the outcome by giving quick results. Consult our dental experts today to know more about Laser Teeth Whitening In Goa.
What Are Teeth Veneers?
Teeth veneers, also known as dental veneers or porcelain veneers are tough, Thin ceramic shells custom-made and fitted over teeth by cosmetic dentists to improve their appearance. Discoloured, Chipped and Crooked teeth can easily be masked by teeth veneers, Especially in cases where teeth do not respond to regular dental treatments like Tooth Whitening. Teeth veneers are extensively used in Smile Makeover cases. Depending on the kind of veneers and how well you take care of them, Teeth Veneers can last between 5-10 years!
Teeth Veneer Procedure?
For the application of Porcelain Veneers, your dentist will first prepare the teeth selectively by reducing some amount of enamel. Then, they will take an impression of the teeth and send the moulds to a laboratory where the porcelain veneers are custom-made. You will be given temporary veneers during that duration.
After the veneers arrive from the lab, they are prepared and placed over your cleaned teeth and fixed into place using special cement.
Once the veneers are properly positioned, the cement will be cured with the help of a special LED light and any excess cement will be removed.
This whole process takes around 2-3 sessions. Porcelain veneers take 1-2 weeks to be prepared in the laboratory, and temporary veneers can be worn during this time.
Recovery and Post – Treatment Care ?
It may take about two weeks to fully adjust to the veneers. Wait for at least an hour after they have been fixed into place before eating anything so that they have time to properly set. You may experience tooth sensitivity initially and can alleviate it by avoiding very cold or hot food and beverages. Any minor side-effects will recede by the first week itself. Proper oral hygiene must be maintained in order to let the teeth veneers last longer, and special care should be taken to clean the area where the veneers meet the gums. We highly recommend using a water flosser to enhance your oral hygiene maintenance with dental veneers. If you maintain proper oral hygiene, your dental veneers will serve you for a very long time.
Cost Of Dental Veneers In Goa?
The cost for dental veneers depends on factors such as the extent of correction, type of veneers and underlying discolouration. After a comprehensive clinical examination, your dentist will advise you as to what type of dental veneers would be the best for you. The cost for Teeth Veneers In Goa varies and starts from Rs 7000 onwards.
Things to keep in mind before you get teeth veneers?
Ensure Your teeth and gums are healthy before you get veneers. People with Gum diseases are generally advised against getting veneers until the gum disease is treated.
Veneers are not always a good choice for patients who clench or grind their teeth, because the thin veneers may chip or break. If you clench or grind your teeth, your dentist may suggest you wear a plastic dental night guard while sleeping.
It is possible for veneers to come loose over time. In that case, new ones might be needed.
As with all your dental care, discuss all your expectations and treatment options with your dentist. Regular dental visits are a must for keeping your teeth and gums healthy.
BLOGS
-

Smile Brighter Than the Sun: Laser Teeth Whitening vs. Zoom Teeth Whitening
Ever wonder about the secret to your favorite celebrity’s dazzling smile that’s radiant enough to light up every room? The answer is teeth whitening treatments done by expert dentists using advanced technology. Whether you’re looking to boost your confidence, get that perfect selfie-worthy smile, or be the life of every party; professional teeth whitening is…
-

Teeth Whitening in Goa: The simplest Wedding smile makeover
Introduction: Teeth whitening treatment is one of the easiest available treatments in the picturesque state of Goa. If you’re looking to enhance your smile for your big day and smile with confidence, Smile Craft dental clinic in Goa offers a range of professional teeth whitening treatments in a serene and relaxing environment. In this blog,…
-

Here’s how you get the perfect celebrity smile with Dental Veneers in Goa.
Having a perfect smile gives everyone an added boost of confidence. If you have a chipped or misshaped tooth or perhaps even a gap between your teeth, you may want to get rid of it. Well not to worry for we’ve found the perfect way for you to do so! Dental Veneers are the modern…
Got Questions related to Dental Veneers in Goa? We Have Answers! (FAQ’s)

Book An Appoinment
DENTAL VENEERS IN GOA
MARGAO

Kurtarkar Harmony, Ground Floor,
Shop No 3, Building A ,
Borda, Margao
Goa – 403601, India
PANJIM






