ROOT CANAL TREATMENT IN GOA
Filling the gap in dentistry.
Root canal is a treatment to repair and save a badly damaged or infected tooth that is painful instead of removing it. A well-executed Root Canal Therapy will be a lot less painful than what you assume it to be. We at Smile Craft pride on providing one of the Best and most Affordable Root Canal Treatment in Goa.
What is a Root Canal Treatment?
A Root Canal Treatment is conducted by a Root Canal Specialist, Also known as an Endodontist when a patient comes in with a decayed or damaged tooth that might be infected. It is advisable to go through with the procedure rather than extracting the tooth as retaining natural teeth is always better than getting a false one after an extraction and not replacing teeth after extraction can affect the health of the remaining teeth. The soft inner chamber of the tooth known as the pulp –contains Nerves, Blood vessels and Connective tissue. When the pulp gets damaged or infected due to a chip in the tooth or dental decay that allows bacteria to enter, A Root Canal procedure needs to be performed in order to remove the infected pulp and clean and seal the inside of the tooth.
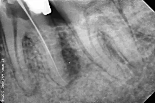
Root Canal Procedure?

How Long Does a Root Canal Treatment Take?
The duration of a Root Canal Procedure varies depending upon the severity of infection. Some Root Canal Treatment can be completed in a single sitting and are known as Single Visit Root Canal Treatment however, If the tooth is badly infected it might involve multiple sittings as your Endodontist has to ensure that all the infection has healed prior to filling the tooth.
Recovery after Root Canal Treatment
Root Canal recovery should take around 2-7 days. For the first few days after treatment, You may feel a little discomfort in the treated tooth, Especially if there was pain or infection before the procedure. It is very important to maintain oral hygiene after the root canal treatment to ensure that your teeth stay healthy.
Post-treatment Dental Care
Follow your doctor’s guidelines carefully after the root canal procedure for pain management and how to care for your tooth while recovering from treatment and until a follow-up visit.
You may feel some tenderness in the area after the anesthesia wears off, and also some mild soreness. These can be relieved through over-the-counter medication, but always consult your doctor first.
You may experience a slightly different sensation from your treated tooth than your other teeth for some time.
Don’t chew or bite down on the treated tooth until it is fully restored to avoid damaging it. Warm salt-water gargles and cold compresses are recommended.
After a couple of check-ups, your doctor will check to see if you need to put a crown on the tooth in order to prevent it from breaking further.
Maintain good oral hygiene and regularly check in with your doctor in order to achieve a full recovery and to keep your teeth healthy.
BLOGS
-

NEED A CHILD DENTIST IN GOA? CALL US RIGHT AWAY
Getting your child to the child dentist can be quite a daunting task. Especially if your child is particularly stubborn. But its alright, at some point every child needs to get used to a regular dental visit. After all, all those sweet treats are bound to cause problems sooner or later. It is better to…
-

How to make teething more comfortable for your baby
Teething typically begins around four to seven months of age. Every baby is different, so even seasoned parents who have been through this process before may find themselves desperate for insights on how to ease teething. We at Smilecraft Dental Clinic in Goa believe that knowing what to look for can help smoothen some of the hazards of teething.…
-

Getting a Root Canal Treatment in Goa? Here’s what you need to know
The dental term ‘Root Canal Treatment’ is something that we’ve all heard about at various stages of our life, but what exactly is it? Simply put, root canal treatment is a dental procedure that involves the removal of the infected pulp of your tooth in order to avoid further weakening and tooth extraction in the…
Frequently Asked Questions related on Root Canal Treatment

Book An Appoinment
ROOT CANAL SPECIALIST
MARGAO

Kurtarkar Harmony, Ground Floor,
Shop No 3, Building A ,
Borda, Margao
Goa – 403601, India
PANJIM







